
-

まずは患者様のお悩みを伺います。
- 豊胸ヒアルロン酸注入を受けた時期
- ヒアルロン酸の種類
- バストの症状
- 痛みの有無
- ご希望の解決方法
などをご質問させていただき、お悩みを認識します。

-

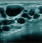
乳腺用エコー「エラストグラフィ」を使って以下のチェック項目でエコー検査を行います。
- しこりの原因
- しこりの位置
- しこりの状態
などを診ながら総合的な診断を行っていきます。しこりの状態やお悩みの状況に応じて、適切な治療法や解決法をご提案します。

-

必要に応じ、血液検査を行います。
その後、無理のない予算や仕事のスケジュール、患者様の個人的な事情などをお伺いしたうえで施術予定日を決定、ドクターのスケジュールを押さえます。
- 体調確認の連絡をいただきます。
前日は緊張するかもしれませんが、ゆっくりお休みください。
また、食事は手術の6時間前までにお済ませください。

-

ほとんどのケースで、体への負担が少ない静脈麻酔法を用います。注射から5分もするとウトウトと眠ってしまうため 、リラックスして施術を受けて頂けます。手術中は一定量の麻酔を維持しますので、痛みを感じることなく、術後も入院の必要はありません。

-

適切な処置や術後の説明を受けた後、そのまま歩いてお帰りいただけます。




















































+81-3-5775-3400
+81-82-236-6136
+81-52-955-8366
+81-6-6313-0015
+81-92-732-3155
















