豊胸のためのヒアルロン酸は時間とともに吸収される程度の大きさで注入します。
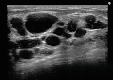
逆に大き過ぎる塊で入れると、分解できずに残ってしまい、硬いしこりになるトラブルに発展。
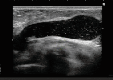
THE CLINICではそんな問題を完治すべく、最先端のエコーを導入して治療にあたっています。
-
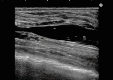
正しい量で注入すると自然吸収されます-
-
分解できなかった部分はしこりとして残存-


豊胸のためのヒアルロン酸は時間とともに吸収される程度の大きさで注入します。
逆に大き過ぎる塊で入れると、分解できずに残ってしまい、硬いしこりになるトラブルに発展。
THE CLINICではそんな問題を完治すべく、最先端のエコーを導入して治療にあたっています。
正しい量で注入すると自然吸収されます

分解できなかった部分はしこりとして残存
