しこり除去
治療の流れ

-
- 予約

- お電話もしくはホームページからカウンセリングをご予約ください。コンシェルジュがご希望の日程を調整し、お電話でご連絡します。
-
- カウンセリング

- まずは患者様のお悩みを伺います。
- 豊胸ヒアルロン酸注入を受けた時期
- ヒアルロン酸の種類
- バストの症状
- 痛みの有無
- ご希望の解決方法
-
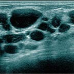
- エコー検査

- 乳腺用エコー「エラストグラフィ」を使って以下のチェック項目でエコー検査を行います。
- しこりの原因
- しこりの位置
- しこりの状態
-
- 施術日決定

- 必要に応じ、血液検査を行います。
その後、無理のない予算や仕事のスケジュール、患者様の個人的な事情などをお伺いしたうえで施術予定日を決定、ドクターのスケジュールを押さえます。
- 手術前日について
- 体調確認の連絡をいただきます。
前日は緊張するかもしれませんが、ゆっくりお休みください。
また、食事は手術の6時間前までにお済ませください。
-
- 麻酔・施術

- ほとんどのケースで、体への負担が少ない静脈麻酔法を用います。注射から5分もするとウトウトと眠ってしまうため 、リラックスして施術を受けて頂けます。手術中は一定量の麻酔を維持しますので、痛みを感じることなく、術後も入院の必要はありません。
-
- 治療後

- 適切な処置や術後の説明を受けた後、そのまま歩いてお帰りいただけます。








