-
- エコー診断
- 最新のデジタル技術による
乳腺用エコーでバストの状態
を診断します。
-
- しこり除去
- 他院の施術による脂肪注入
のしこりをエコーで確認して、
確実に除去します。
-
- 再生豊胸
- 再生医療にもとづいた3つの
工程で自分の脂肪を活用した
豊胸施術を行います。
エコー症例
豊胸ヒアルロン酸注入で起こるトラブル
豊胸のためのヒアルロン酸は時間とともに吸収される程度の大きさで注入します。
逆に大き過ぎる塊で入れると、分解できずに残ってしまい、硬いしこりになるトラブルに発展。
THE CLINICではそんな問題を完治すべく、最先端のエコーを導入して治療にあたっています。
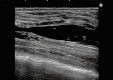
-
- ◯通常の経過
-
正しい量で注入すると自然吸収されます
-
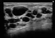
- ×大量に注入された場合
-
分解できなかった部分はしこりとして残存



















