ヒアルロン酸注入のしこりについて
手軽な反面、陥りがちなしこりトラブル

ヒアルロン酸注入はメスを使用しない気軽さが人気です。この豊胸術が普及し始めた頃は品質が低くアレルギー反応も出ていたようですが、近年は改良が進み、安全性はもちろんのこと持続性や触感の面でも優れた製品が登場しています。
しかし、しこりのトラブルはドクターの注入技術や体質による拒否反応が大きな要因です。そのため、品質の向上により豊胸ヒアルロン酸注入を受ける方が増える一方で、しこりのトラブルも増加傾向にあるようです。
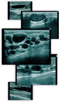
THE CLINICでは、このような他院で受けたヒアルロン酸注入の豊胸によるしこりのお悩みに対応すべく、乳腺用エコーを使用し、しこりを目視しながら確実に除去する治療法を採っております。
注入されたヒアルロン酸のその後
ヒアルロン酸注入でできてしまった胸のしこりは、吸収されるはずのヒアルロン酸が体内に残っていることが原因です。
多くの場合、ヒアルロン酸を注入すると体は異物が入ってきたと捉えるので、コラーゲン線維の被膜で閉じ込めようとします。しかし、これは正常な生体反応。通常なら、被膜の薄いうちに体内の酵素成分がヒアルロン酸を分解、吸収されてなくなります。しかし、何らかの理由で分解されるより前に厚い被膜ができてしまった場合、しこりとして残ってしまうのです。
ただし、ヒアルロン酸注入後にしこりに気付いたとしても、それがヒアルロン酸のしこりとは限りません。そのため、まずは乳腺用エコーできちんと検査、診断することが大切です。
-
- 通常の経過
-
-

- 体内の酵素が少しずつ分解
-

- 分解後、吸収されてなくなる
-
-
- しこりになる場合
-
-

- ヒアルロン酸の周囲に
被膜を形成
-

- 分解・吸収されることなく残留
-
- エコー診断で確認できること
-
-
- しこりの位置
- どこにしこりができているかが明確に分かります。
-
- しこりの原因
- しこりが何によるものなのかを調べられます。
-
- しこりの状態
- 大きさや石灰化の有無などを把握できます。
-








